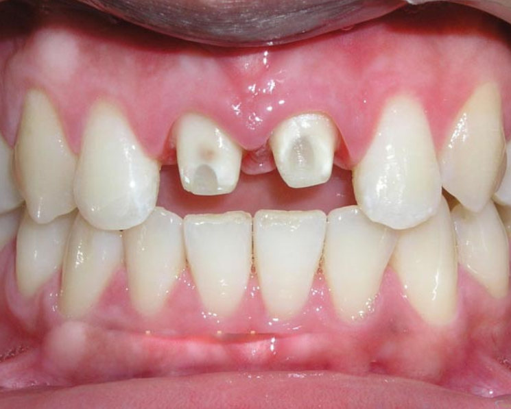
2 răng cửa bị chìa ra ngoài và lệch một chút so với cung hàm khiến răng bị khiếm khuyết. Khuyết điểm này ảnh hưởng rất nhiều đến tính thẩm mỹ của hàm răng và cả khuôn mặt. Đây sẽ là một trở ngại lớn trong quá trình giao tiếp và thể hiện bản thân của bạn. Lúc này, bạn cần tìm cách khắc phục khuyết điểm đó. Những thay đổi táo bạo có thể mang lại những bất ngờ rất lớn.

Bọc răng sứ cho 2 răng cửa bị hô sẽ giúp điều trị xỉn màu và sứt mẻ triệt để và cải thiện dáng hàm trên đến 70%. Công nghệ mà Nha Khoa Nhân Tâm áp dụng đã mang lại hiệu quả ngoài mong đợi cho nhiều khách hàng.
Những trường hợp thích hợp bọc sứ cải thiện răng hô
Bọc răng sứ cho răng hô là công nghệ tiên tiến thay thế phương pháp niềng răng được nhiều khách hàng theo đuổi. Tại các bệnh viện, phòng khám nha khoa, các bác sĩ khuyến cáo chỉ một số trường hợp có thể sử dụng kỹ thuật bọc răng sứ để cải thiện tình trạng răng cửa bị hô. Cụ thể là những trường hợp sau:
- Răng bị hô nhẹ, chủ yếu là chìa ra 2 răng cửa hàm trên.
- Hàm răng không đều, lệch ảnh hưởng đến khớp cắn.
- Răng cửa bị mẻ và chìa ra ngoài.
Tùy theo nguyên nhân mà răng cửa bị hô chìa ra có thể được chia thành 3 nhóm: do răng cửa bị mọc chìa ra ngoài, do hàm và sự kết hợp của 2 yếu tố trên. Bọc răng sứ thẩm mỹ là giải pháp điều trị hô nhẹ rất hiệu quả. Răng sẽ thẳng hơn sau phẫu thuật.

Bên cạnh đó, các khuyết điểm về hình dáng, màu sắc của răng như to, nhỏ, dài, ngắn, sậm màu, ố vàng… cũng được khắc phục một cách tốt nhất. Giúp bạn có hàm răng đều, đẹp.
Lợi ích của việc bọc răng sứ cho răng hô
Bọc răng sứ là một kỹ thuật phục hình răng thường được sử dụng để phục hình và thiết kế lại hình dáng, màu sắc của răng và mang lại nhiều lợi ích vượt trội như:
Cải thiện màu sắc, hình dáng răng
Răng sứ là một loại răng giả có giá trị thẩm mỹ cao. Hình dạng, màu sắc và kích thước của chúng hầu như giống với răng tự nhiên.

Kết hợp với kỹ thuật mài, lấy mô răng với tốc độ phù hợp, sau khi bọc sứ bạn sẽ có thể sở hữu một hàm răng đều và trắng đẹp.
Thời gian bọc răng diễn ra nhanh chóng
Thông thường, quá trình bọc răng cần làm mão sứ được thiết kế riêng theo cấu trúc ổ răng của từng khách hàng. Khi đó, để làm mão sứ có thời gian chờ đợi (khoảng 2 – 4 ngày).
Quá trình mài răng và bọc răng sứ sẽ diễn ra nhanh chóng hơn, đảm bảo không chiếm quá nhiều thời gian của bạn.
Chăm sóc, vệ sinh dễ dàng
Chăm sóc răng miệng sau khi dán sứ hầu như giống với việc chăm sóc răng tự nhiên. Sau phẫu thuật, bạn vẫn có thể chải răng, dùng chỉ nha khoa và súc miệng như bình thường.
Độ bền cao, thời gian sử dụng nhiều năm
Tùy từng loại mão mà thời gian sử dụng sẽ khác nhau. Tuy nhiên, tuổi thọ trung bình của một mão sứ toàn sứ có thể lên tới 15 năm hoặc hơn.
Do đó, bạn có thể yên tâm dùng phương pháp bọc sứ để cải thiện tình trạng hô răng cửa của mình.
Chi phí điều trị 2 răng cửa hô bằng bọc sứ
| DỊCH VỤ | ĐƠN VỊ | PHÍ TÍNH (VNĐ) |
|---|---|---|
| Răng sứ hợp kim Titan | Răng | 2,800,000 VND |
| Răng sứ Zirconia Cercon | Răng | 6,000,000 VND |
| Răng toàn sứ IPS E.Max | Răng | 7,500,000 VND |
| Răng toàn sứ Cercon HT | Răng | 8,000,000 VND |
| Răng sứ Zirconia Dmax | Răng | 4,000,000 VND |
| Răng sứ Lava Esthetic (3M – Mỹ) | Răng | 12,000,000 VND |
| Mặt dán sứ Veneer IPS E.Max | Răng | 7,500,000 VND |
| Mặt dán sứ Veneer Lisi (GC- Nhật) | Răng | 10,000,000 VND |
| Phục hồi dán với Composite | Răng | 3,000,000 VND |
| Phục hồi dán với sứ Emax | Răng | 7,000,000 VND |
| Phục hồi dán Lisi | Răng | 10,000,000 VND |
| Điều trị viêm lợi trùm | Răng | 2,000,000 VND |
Quy trình chữa 2 răng cửa hô bằng bọc sứ
Quy trình trên đã được Bộ y tế kiểm định về chất lượng, hiệu quả nên bạn hoàn toàn có thể an tâm khi sử dụng dịch vụ tại cơ sở.
Bước 1: Thăm khám, xác định tình trạng răng miệng thực tế của khách hàng.
Đầu tiên, bạn cần được bác sĩ thăm khám và tư vấn về tình trạng răng. Khi đó, lúc này, bác sĩ sẽ chỉ định chụp X-quang để xác định chính xác tình trạng răng. Như vậy, cũng biết được răng bị sâu bao nhiêu hay mắc bệnh gì. Từ đó,bác sĩ sẽ đưa ra cho bạn giải pháp phù hợp nhất.

Cũng tại bước này, bác sĩ sẽ giới thiệu loại răng sứ phù hợp nhất cho bạn. Do đó, bạn sẽ thống nhất với bác sĩ về loại răng mà mình lựa chọn. Nếu răng bị bệnh, cần điều trị trước.
Bước 2: Xử lý các bệnh lý nha khoa trước khi tiến hành bọc răng (sâu răng, viêm tủy, viêm lợi/nướu,..)
Bước 3: Lấy dấu răng để chế tác vật liệu mão sứ phù hợp nhất với mỗi cấu trúc ổ răng khách hàng.
Sau khi mài răng, bác sĩ lấy dấu hàm và gửi sang Labo để thiết kế răng. Đồng thời, lúc này sẽ lắp răng tạm cho khách hàng để đảm bảo quá trình ăn nhai và tính thẩm mỹ. Ngoài ra, bác sĩ sẽ hẹn khách hàng quay lại để thực hiện bọc răng sứ hoàn chỉnh.
Bước 4: Xử lý bề mặt răng, mài đi 1 phần sao cho cùi răng còn lại phù hợp với mão sứ cần chụp.
Sau khi xác định được tình trạng răng, có bệnh lý thì quá trình điều trị được hoàn tất. Điều này đảm bảo tuổi thọ của răng và tránh gây khó chịu cho khách hàng sau này. Tiếp theo, bác sĩ sẽ gây tê cho bệnh nhân, tạo cảm giác thoải mái và tiếp tục mài.

Lúc này, bác sĩ sẽ sử dụng các dụng cụ nha khoa chuyên dụng để mài một phần nhỏ trên bề mặt răng. Tỷ lệ này sẽ được bác sĩ tính toán kỹ lưỡng để bảo vệ tối đa mô răng thật. Thông thường, thời gian xay là 20 đến 30 phút. Tùy theo số lượng răng mà thời gian có thể lâu hơn.
Bước 5: Lắp răng sứ lên trên cùi răng
Bước 6: Kiểm tra lần cuối về khớp cắn
Bước 7: Hẹn tái khám
Các loại răng sứ sử dụng để bọc bạn nên tham khảo
Răng sứ Titan
Răng sứ lõi kim loại titan là một trong những loại răng sứ lâu đời nhất hiện nay được nhiều trung tâm nha khoa và nhiều khách hàng tin tưởng lựa chọn. Cấu tạo của răng sứ titan gồm hai phần: phần lõi kim loại bên trong và bên ngoài được phủ một lớp sứ nguyên chất.

So với các loại răng sứ kim loại khác thì răng sứ titan có tuổi thọ cao hơn rất nhiều.
Những ưu điểm nổi bật của răng sứ Titan như:
Nhẹ và không dễ bị oxy hóa trong môi trường miệng
Răng sứ titan có kích thước tương đương với răng thật nhưng nhẹ hơn nên thường được sử dụng cho các răng hàm trên. Đặc biệt là cầu răng sứ dài, để không bị mất cầu răng sứ do răng sứ quá nặng.
Chịu được lực nhai tốt
Vì được làm từ kim loại và sứ nên răng sứ titan có thể chịu lực tốt, ăn uống thoải mái như răng thật mà không lo răng sứ titan bị vỡ.

Theo nhiều nghiên cứu khác nhau, loại răng sứ đó có độ bền chắc như răng thật. Vì vậy, các bác sĩ thường lựa chọn làm cầu răng sứ titan để phục hình răng bị mất.
Lành tính
Phần hợp kim chứa 4-6% titan – chất liệu thường được sử dụng trong lĩnh vực y tế nên rất an toàn cho cơ thể. Lớp sứ phủ bên ngoài cũng đã được kiểm định là lành tính và không gây ra bất cứ vấn đề gì cho nướu và các mô mềm xung quanh. Cũng chưa có trường hợp nào dị ứng với thức ăn nóng lạnh ở loại răng này.
Răng sứ titan có độ tương thích sinh học cao và không dễ bị đào thải trong quá trình sử dụng
Chi phí không cao
So với răng toàn sứ thì răng sứ titan có giá thành rẻ hơn rất nhiều mà chất lượng của loại răng này vẫn rất cao. Đây là một lựa chọn rất hợp lý cho những người có ngân sách thấp hơn.
Răng sứ Zirconia
Răng sứ Zirconia là loại răng sứ toàn sứ, không có thành phần kim loại. Cấu tạo chính của dòng răng sứ này là phần lõi và phần sườn bên ngoài được phủ một lớp sứ bóng nên mang lại nhiều ưu điểm và tính thẩm mỹ cao mà các loại răng khác không có được.

Màu sắc của răng sứ zirconia là màu trắng ngà, gần giống với màu của răng thật. Vì vậy, nếu nhìn từ xa chúng ta rất khó phát hiện. Vì thành phần chính là không kim loại nên khi làm răng sứ zirconia sẽ tồn tại lâu hơn, không bị thâm đen viền nướu và không bị oxy hóa bởi môi trường miệng.
Răng toàn sứ IPS E.Max
Phần sườn của răng toàn sứ IPS E.Max được làm bằng sườn sứ lithium disilicate, được nung ở nhiệt độ trên 1.600 độ C và được phủ bên ngoài một lớp sứ.

Răng toàn sứ IPS E.Max hiện được sử dụng để phục hình cho mọi trường hợp (nhiễm màu, móm, móm, thưa …) và ở mọi vị trí răng. Chất liệu này được xem là lựa chọn hàng đầu nếu bạn muốn bọc răng sứ cho răng cửa.
Răng sứ Cercon
Răng sứ Cercon là một răng sứ toàn sứ của hãng DentSply (Đức) sản xuất, sở hữu nhiều ưu điểm và có độ phù hợp cao với cơ địa của nhiều người.

Trên thị trường hiện nay có hai loại răng sứ Cercon cơ bản:
Răng sứ Cercon Zirconia: Đây là loại răng sứ có phần sườn được làm từ chất liệu Zirconia và được phủ một lớp Cercon Kiss nên có khả năng chịu lực và chịu mài mòn cao.
Răng Sứ Cercon HT: Đây là loại chỉ nha khoa toàn sứ cao cấp được sản xuất dựa trên công nghệ CAD / CAM mới nhất. Răng sứ Cercon HT bao gồm 2 lớp chính, khung sườn được làm từ chất liệu zirconium dioxide và có khả năng chịu lực lên đến 900Mpa. Vỏ được làm bằng một lớp Ceram Kit giúp răng có màu sắc giống như răng thật.
Răng sứ Dmax
Là sản phẩm có xuất xứ từ Đức. Sự xuất hiện của răng sứ Dmax đã tạo nên một bước phát triển vượt bậc trong ngành nha khoa thẩm mỹ. Vì vậy, nhiều người sẽ lựa chọn khi có nhu cầu bọc răng sứ.

Nguyên nhân là do sản phẩm được làm từ 100% sứ zirconium tự nhiên nguyên chất. Ngoài ra, sản phẩm còn được bọc sứ cao cấp. Tạo nên vẻ đẹp hoàn mỹ và hoàn mỹ với nước sứ trong vắt.
Không chỉ được làm bằng vật liệu quý hiếm. Với sự hỗ trợ của hệ thống CAD / CAM để chế tạo mão sứ, răng sứ Dmax cũng có thể đạt được tỷ lệ chuẩn và chính xác.
Răng sứ Lava Esthetic (3M – Mỹ)
Răng sứ Mỹ Lava Esthetic có khả năng chịu lực lên đến 800 Mpa, bền hơn gấp nhiều lần so với các loại răng sứ truyền thống khác. Vì vậy, phục hình đòi hỏi độ bền tốt nhất nên chọn răng sứ Lava Esthetic Hoa Kỳ.

Đặc tính huỳnh quang như răng thật và tuổi thọ vĩnh viễn
Lava Esthetic US có cực đại phát xạ ở khoảng 450 nm (màu xanh), tương tự như quang phổ của ngà răng thật. Vì vậy, Lava Esthetic US vượt trội hơn sứ Emax ở chỗ chỉ sai lệch một chút huỳnh quang cực đại ở bước sóng 55nm (xanh / vàng) so với màu răng thật, trong khi sứ Katana hay Zirconia hoàn toàn không có tính chất này.
Các phương pháp chỉnh hình răng cửa bị hô hiệu quả khác
Chỉnh sửa răng hô bằng phương pháp niềng răng
Đối với những trường hợp răng mọc chìa ra ngoài một chút thì niềng răng cho răng hô là một trong những lựa chọn khá phổ biến vì nó có giá thành tương đối phù hợp. Niềng răng giúp sắp xếp các răng về vị trí mong muốn và chỉnh sửa khớp cắn cho chuẩn hơn.

Ưu điểm của phương pháp này là hiệu quả sau điều trị tốt, răng không còn bị chìa ra ngoài, hiệu quả đều và đẹp, hiệu quả duy trì lâu dài. Niềng răng có thể khắc phục tình trạng răng khấp khểnh nghiêm trọng, sai lệch khớp cắn nhiều, không xâm lấn răng, phù hợp với mọi lứa tuổi và rất an toàn.
Tuy nhiên, niềng răng cũng có một nhược điểm đó là chi phí niềng răng mắc cài sứ cao hơn so với bọc răng sứ. Quá trình điều trị niềng răng mất khoảng 1 đến 2 năm.
Chỉnh sửa răng hô bằng phương pháp phẫu thuật hàm
Giúp thẩm mỹ khuôn mặt tối đa khi răng bị hô do xương hàm.

Phương pháp này được thực hiện bằng cách cắt xương hàm trên bằng hệ thống robot hiện đại, sau đó đẩy lùi và chỉnh lại khớp cắn của 2 hàm cho cân đối.
Chỉnh sửa răng hô bằng phương pháp niềng răng kết hợp hàm
Sử dụng khi răng và xương hàm bị hô nặng hoặc xương hàm bị chìa ra ngoài. Kết hợp hai phương pháp sẽ mang lại kết quả thẩm mỹ tốt nhất.
Để điều trị răng mọc chìa cho kết quả thẩm mỹ tốt nhất, bạn cần biết chính xác tình trạng của răng.
Vì vậy, bạn nên đến nha khoa uy tín để được bác sĩ có chuyên môn thăm khám, chẩn đoán và chỉ định phương án phục hình răng, xương hàm cho bạn.
Sứ mệnh của Nha khoa Nhân Tâm là mang lại NỤ CƯỜI HOÀN HẢO, là nơi khơi nguồn niềm hạnh phúc cho mọi người.

Thông tin liên hệ
- Website: https://nhakhoanhantam.com/
- Phone: 0338565678
- Địa chỉ: 807 Đường 3/2, Phường 7, Quận 10, Thành phố Hồ Chí Minh
- Mail: drnhan1@gmail.com
- Maps: https://goo.gl/maps/vGbPak5WCrY4RX8h7
- Facebook: https://www.facebook.com/nhantamdental
- Youtube: https://www.youtube.com/c/nhantamdental
- Twitter: https://twitter.com/nhakhoanhantam
- Linkedin: https://www.linkedin.com/company/nhantamdental
Để biết chính xác tình trạng răng và mức độ điều trị 2 răng cửa mọc chìa ra ngoài phù hợp, bạn nên đến trực tiếp Nha khoa Nhân Tâm. Đội ngũ chuyên gia giàu kinh nghiệm sẽ tiến hành kiểm tra và tư vấn chi tiết cho bạn. Hy vọng những chia sẻ trên đây có thể giúp ích cho bạn trong việc đưa ra quyết định chọn lựa dịch vụ phù hợp để bọc răng sứ cho 2 răng cửa bị hô.